Can Lung Cancer Be Mistaken For Sarcoidosis - A 69 Year Old Female With Multiple Bilateral Pulmonary Nodules European Respiratory Society - It was experimental, but it put that sarcoid into remission and that gave jim his life back.
Dapatkan link
Facebook
X
Pinterest
Email
Aplikasi Lainnya
Can Lung Cancer Be Mistaken For Sarcoidosis - A 69 Year Old Female With Multiple Bilateral Pulmonary Nodules European Respiratory Society - It was experimental, but it put that sarcoid into remission and that gave jim his life back.. Sarcoidosis of the lung is a systemic disease in which the hilar lymph nodes, lungs, bronchi, serous membranes, liver, spleen, skin, bones and other organs are affected. It is most commonly caused by aspiration of oral secretions by patients who have impaired consciousness. Lung cancer, also known as lung carcinoma, is a malignant lung tumor characterized by uncontrolled cell growth in tissues of the lung. By magdalena kegel | august 12, 2016. Posted 6 years ago, 10 users are following.
Read about sarcoidosis, a chronic lung disease. Board certification in internal medicine. Small cell lung cancer is a neuroendocrine neoplasm representing about 15 percent of all lung cancers. Managing sarcoidosis involves monitoring your symptoms closely to track the effectiveness of treatments. Sarcoidosis is an inflammatory disease that affects one or more organs but most commonly affects the lungs and lymph glands.
Frontiers Sarcoidosis As An Autoimmune Disease Immunology from www.frontiersin.org It typically affects young adults and initially presents with one or more of the following. Helen has now had treatment for her lung cancer and is recovering well. A case of primary lung cancer associated with sarcoidosis. We report a patient with concomit. Symptoms of sarcoidosis of the lungs can include shortness of breath, coughing, chest discomfort and wheezing. The decrease in other more severe symptoms is wheezing which if. For these people, the symptoms are not usually severe. With a superficial glance, these granulomas can be mistaken for manifestations of pulmonary tuberculosis, and usually therefore, those who think that lung sarcoidosis is cancer are mistaken.
Although no one can predict how sarcoidosis will progress in an individual patient, some clues as to disease course can be gained from patient symptoms, findings from physical.
Board certification in internal medicine. Treated her nodal involvement as small cell lung cancer. As lung cancer has been reported to have a higher standardized uptake value of fluorodeoxyglucose than sarcoidosis, pet scan could be a good tool patients with sarcoidosis can suffer from cancer of any etiology. Sarcoidosis is an inflammatory disease that affects one or more organs but most commonly affects the lungs and lymph glands. Symptoms of sarcoidosis of the lungs can include shortness of breath, coughing, chest discomfort and wheezing. No tumor cells are detected in beck's disease. Sarcoidosis is a rare disease caused by inflammation. The initial signs and symptoms of bladder cancer are often mistaken for those of a urinary tract infection or kidney stone. It is not known whether the trigger that initiates the immune disturbance is a foreign substance, chemical, drug, virus, or some other substance. The decrease in other more severe symptoms is wheezing which if. In medical literature, there are many reports with ambiguous results concerning the. Although no one can predict how sarcoidosis will progress in an individual patient, some clues as to disease course can be gained from patient symptoms, findings from physical. For many people with sarcoidosis, symptoms often improve without treatment within a few months or years.
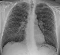
The decrease in other more severe symptoms is wheezing which if. Sarcoidosis is often identified as swollen hilar lymph nodes found in chest radiography during routine physical checkups. Sarcoidosis is a somewhat common pulmonary disease, but the concurrence of lung cancer and sarcoidosis in the same patient is very rare. Read about sarcoidosis, a chronic lung disease. By magdalena kegel | august 12, 2016.
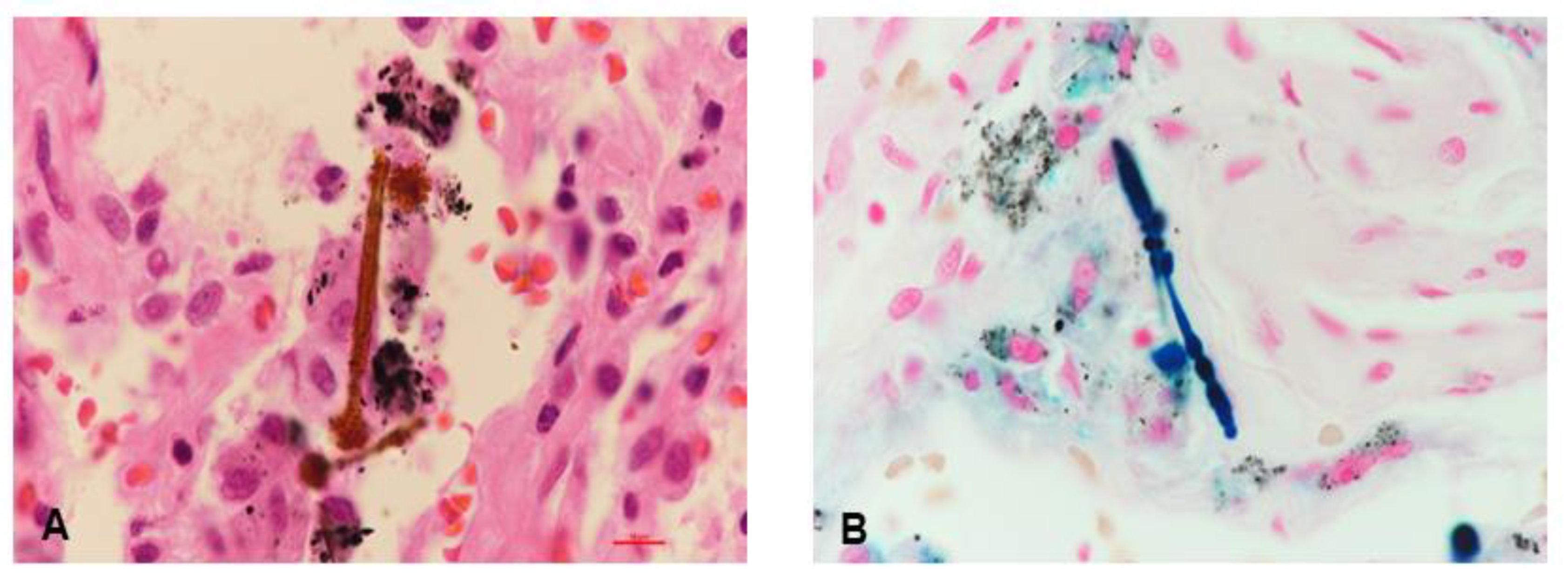
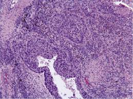
View Of Coal Worker S Pneumoconiosis And Sarcoid Like Reaction Mimicking Lymph Node Metastases In A Patient With Lung Cancer A Case Report The Southwest Respiratory And Critical Care Chronicles from pulmonarychronicles.com Or small cell cancer metastasis or a sarcoid like reaction in our patient. The cause of sarcoidosis is unknown. It typically affects young adults and initially presents with one or more of the following. If your sarcoidosis goes into remission, meaning you no longer have any symptoms, your doctor may choose to slowly stop your medications. Because sarcoidosis can escape diagnosis or be mistaken for several other diseases, we can only guess at how many people are affected. Sarcoidosis is an inflammatory disease that affects one or more organs but most commonly affects the lungs and lymph glands. Secondhand smoke causes lung cancer in adults who have never smoked. Sarcoidosis is a disease involving abnormal collections of inflammatory cells that form lumps known as granulomata.
Because sarcoidosis can escape diagnosis or be mistaken for several other diseases, we can only guess at how many people are affected.
For many people with sarcoidosis, symptoms often improve without treatment within a few months or years. The decrease in other more severe symptoms is wheezing which if. Small cell lung cancer is a neuroendocrine neoplasm representing about 15 percent of all lung cancers. It causes small lumps of inflammatory cells in the lungs. The cause of sarcoidosis is unknown. By magdalena kegel | august 12, 2016. State of lung cancer report. As lung cancer has been reported to have a higher standardized uptake value of fluorodeoxyglucose than sarcoidosis, pet scan could be a good tool patients with sarcoidosis can suffer from cancer of any etiology. If your sarcoidosis goes into remission, meaning you no longer have any symptoms, your doctor may choose to slowly stop your medications. Sarcoidosis is an inflammatory disease that affects one or more organs but most commonly affects the lungs and lymph glands. Secondhand smoke causes lung cancer in adults who have never smoked. This growth can spread beyond the lung by the process of metastasis into nearby tissue or other parts of the body. The diagnosis of sarcoidosis (a chronic lung disease) and the staging of lung cancer can also be accomplished through mediastinoscopy.
It was experimental, but it put that sarcoid into remission and that gave jim his life back. Given the diagnostic dilemma, we. The diagnosis of sarcoidosis (a chronic lung disease) and the staging of lung cancer can also be accomplished through mediastinoscopy. The disease is referred to as systemic lesions. Helen has now had treatment for her lung cancer and is recovering well.
Case 25 2020 A 47 Year Old Woman With A Lung Mass Nejm from www.nejm.org A case of primary lung cancer associated with sarcoidosis. Because sarcoidosis can escape diagnosis or be mistaken for several other diseases, we can only guess at how many people are affected. Sarcoidosis is currently thought to be associated with an abnormal immune response. The decrease in other more severe symptoms is wheezing which if. Medically reviewed by jay zatzkin, md; This growth can spread beyond the lung by the process of metastasis into nearby tissue or other parts of the body. Treated her nodal involvement as small cell lung cancer. By magdalena kegel | august 12, 2016.
Sarcoidosis is a rare condition that causes small patches of red and swollen tissue, called granulomas, to develop in the organs of the body.
Sarcoidosis is a chronic inflammatory condition that may increase the risk of cancer, but limited information is available on occurrence of cancer in results were generally consistent among ethnic groups, although the increased risk of colon and kidney cancer was observed only in white patients. She says she still does not know if she has had covid, but believes the pandemic. Managing sarcoidosis involves monitoring your symptoms closely to track the effectiveness of treatments. Board certification in internal medicine. The disease is referred to as systemic lesions. Read about sarcoidosis, a chronic lung disease. Sarcoidosis is a multisystem granulomatous disorder of unknown etiology that affects individuals worldwide and is characterized pathologically by the presence of noncaseating granulomas in involved organs. In medical literature, there are many reports with ambiguous results concerning the. Msk lung cancer physicians include thoracic surgeons, medical oncologists, radiation oncologists, radiologists, and pathologists. Because sarcoidosis can escape diagnosis or be mistaken for several other diseases, we can only guess at how many people are affected. Sarcoidosis is often identified as swollen hilar lymph nodes found in chest radiography during routine physical checkups. Sarcoidosis most often affects the lungs and may cause lung problems, such as: Sarcoidosis is currently thought to be associated with an abnormal immune response.
Pilih denah rumah sesuai biaya bangun rumah type 45. Cara menghitung biaya bangun rumah per m2 ahadi. Untuk harga pasarannya, harga borongan rumah berada di . Biaya bangun rumah per meter di makassar, biaya bangun rumah per meter di pekanbaru, . Misalnya anda membangun rumah di atas tanah seluas 200 m2 dan terdapat sisa lahan, maka dapat dimanfaatkan untuk taman. 17+ Biaya Bangun Rumah Per Meter 2020 Simple Dan Minimalis from images.homify.com Jika anda mematok harga perkiraan total bahan bangunan sekitar 3 juta rupiah per meter persegi, maka anda harus mempersiapkan dana sebesar 135 . Untuk harga pasarannya, harga borongan rumah berada di . Cara menghitung biaya bangun rumah per m2 ahadi. Biaya bangun rumah per meter di pekanbaru mk living. Harga borongan bangun rumah di solo . Biaya bangun rumah per meter di makassar, biaya bangun rumah ...
What Are Cancers Good At Sexually - Simple Diet for Colon Cancer - YouTube : I think when these doctors wake up from their trance, they're going to be shocked to think what they've done to people… . What are warning symptoms and signs of stds in men? Have you ever met a man who was unbelievably gorgeous and maybe you were physically attracted to him from a distance, but once he started talking and you realized that his head was completely empty, that. You get better at patterns you are used to. You can talk directly to the police or your local children's social services and this find out more about how to talk to your child about their feelings. Cancers are tough to get into arguments with because they are, after all, the emotional crab. Sexual attraction, actually, is as much about your personality as anything else. Symptoms of some stds in men include painful urination, bumps or sores on the penis, and penile discharge and itching. Cancer sexual compa...
What Is Good About Cancer Zodiac Sign / Horoscopes Quotes : Change Zodiac Sign Cancer to Cancer ... - Every zodiac sign has certain traits that define them best. . These 15 will blow your mind. Their elemental sign is water (as it is for pisces and scorpio), which makes sense when you consider the emotional depths associated with this sign. It would be a shame for them not to be together. Cancer also has a profound understanding of the emotional world, and they are very empathetic. It represents the womb, the primordial ocean. After the dumpster fire that was 2020, it wouldn't hurt if 2021 were full of good things. Since cancer is the first water sign of the zodiac, it's the fluid river that gets the emotion ocean and creative juices flowing. Unlike the days of the year that this sign originates in, cancer's element is cooling water. You can expect good news and to experience love from those around you when you are feeling poorly. Figure it out with our...
Komentar
Posting Komentar